zijiok在线讯 “肿瘤完整切除,腹腔内器官毫发无伤,手术成功”。taptap官网下安卓附属第四医院肝胆外科姚金科副主任的一句话,让在手术室外焦急等候的患者家属如释重负、露出笑容。对姚金科来说,术前的仔细评估与缜密的联合会诊换来了预期中的手术成功;而对患者李女士而言,这是她生活新阶段的开始。
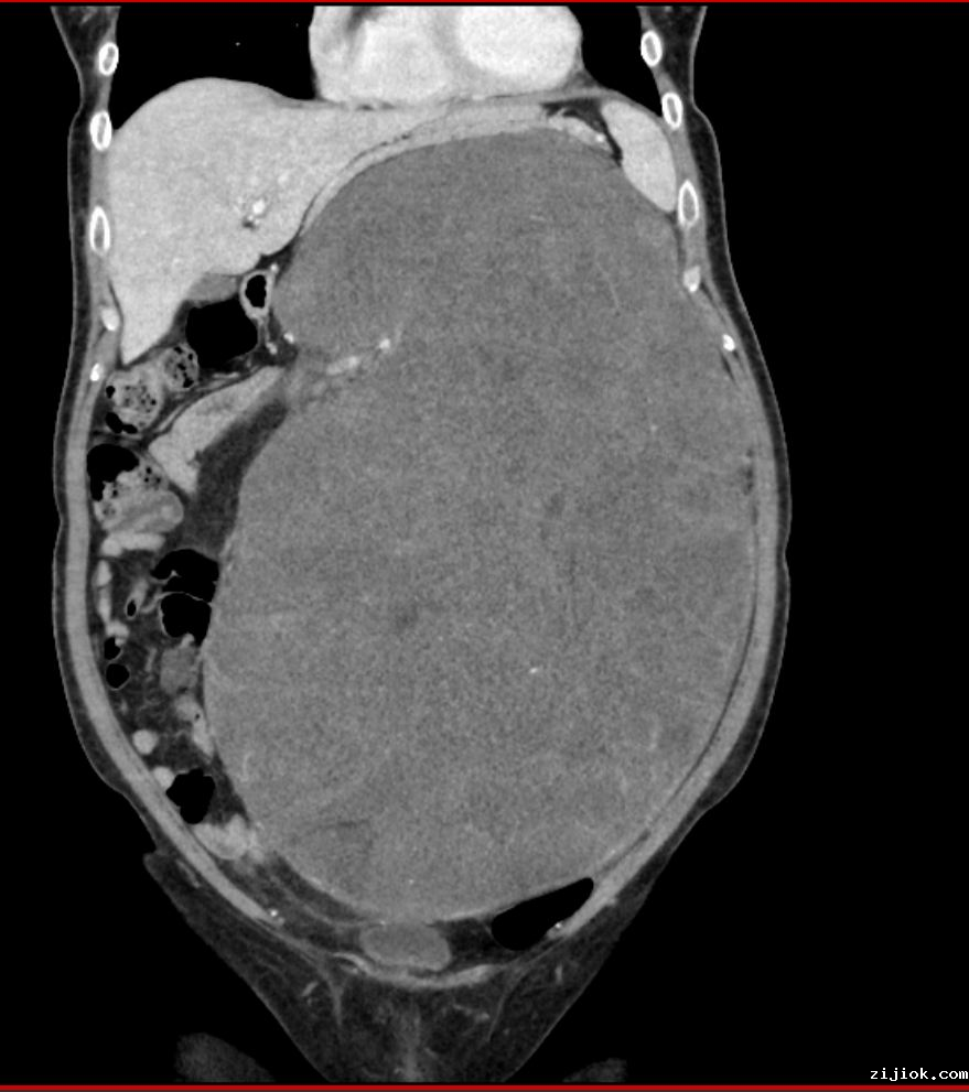
2022年以来,李女士无意间发现自己的肚子日渐增大,但日常生活中又没有任何不适,粗心的她还以为自己长胖了,直到肚子大到实在受不了,才到附四院就诊。通过增强CT、核磁共振等各项检查后,发现李女士的腹部有巨大包块,质地坚硬,不能推动,左侧上腹部盆腔区出现巨大占位性病变。

因病情复杂,姚金科与医院胃肠外科副主任医师李文宏、泌尿外科副主任林茂和麻醉科主任李俊锋等多位专家进行了多次讨论,共同制定手术方案。
由于肿瘤巨大,已出现包绕左肾及左肾血管,比邻腹主动脉,肠系膜上动静脉,腹腔动脉、髂动静脉,脾动静脉等重要血管及腹膜后神经组织的情况,必须在避免肿瘤破损的前提下完整切除肿瘤,才能取得良好疗效,降低复发风险。
手术过程比术前预计的更加艰险,肿瘤占据了腹腔大部分空间,粘连并压迫周围脏器,肠管被严重挤压,并且肿瘤紧贴腹腔多条重要血管,手术中稍有不慎就会导致大出血危及患者生命。
姚金科仔细地将肿瘤与周围组织之间粘连一点点分离,结扎切断左肾血管。经过长达5个小时的奋战,深埋在李女士腹膜后的重磅“炸弹”终于被完整切除。切除的肿瘤大小约38×25厘米,重量达14公斤,如此巨大的肿瘤,连李女士本人也为之惊讶。
术后,李女士恢复情况良好,未见手术并发症发生,目前已康复出院。